Les caries sont des cavités qui se forment à la surface des dents lorsque celles-ci ont été attaquées par le sucre. Les complications peuvent nécessiter l’extraction de la dent cariée. Le seul moyen pour prévenir les caries est de se brosser régulièrement les dents et de manière efficace.
Les points à vérifier pour une bonne hygiène bucco-dentaire
La fréquence de brossage : Il faut se brosser les dents au minimum deux fois par jour (matin et soir) et éviter de grignoter des aliments sucrés (sodas, bonbons, biscuits…) entre les repas. Après le déjeuner, vous pouvez mâcher un chewing-gum au fluor.
La brosse : Elle doit être de préférence à poils souples pour ne pas user l’émail des dents et abîmer les gencives. La tête doit être petite pour accéder aux recoins. Les brosses électriques permettent un brossage aussi efficace qu’une brosse manuelle, mais avec moins d’efforts.
La technique de brossage : Mieux vaut un brossage doux et long qu’un brossage intense et trop court. Il faut toujours se brosser en effectuant un mouvement de la gencive vers la dent et ne pas oublier de brosser la face intérieure des dents.
L’espace interdentaire : N’oubliez pas de nettoyer l’espace entre les dents avec du fil dentaire ou une brossette interdentaire. En effet, les brosses à dents ordinaires ne peuvent accéder à cet espace où s’accumulent les bactéries.
Extraction de dents et implants dentaires lorsqu’il est trop tard
Si malgré tous vos soins vous observez qu’une carie s’est développée sur une dent, même sans douleur, n’attendez pas pour consulter votre dentiste.
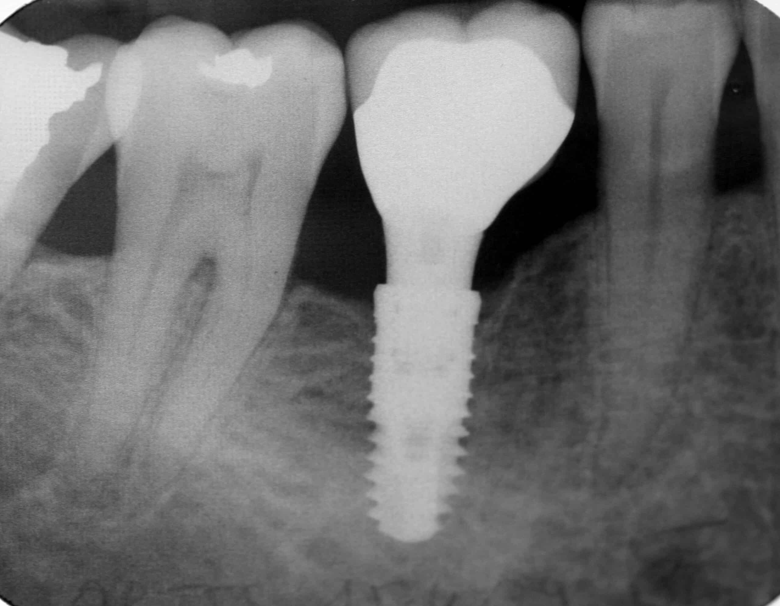
Une carie peut évoluer vers des stades douloureux : atteinte de la dentine puis de la pulpe pour aboutir à l’abcès dentaire. Lorsqu’il est trop tard pour soigner la dent, il faut procéder à son extraction. La dent absente peut alors être remplacée par une prothèse sur implant.
Le prix d’un implant dentaire est libre. Il est donc conseillé de consulter plusieurs spécialistes qui vous fourniront chacun un devis d’implant dentaire.




